
Die MRT Bauch bietet die Möglichkeit, Organe wie Leber, Bauchspeicheldrüse, Nieren oder Gefäße strahlungsfrei darzustellen. Unsere Praxis in Köln setzt auf modernste MRT-Technik, um Erkrankungen des Bauchraumes präzise zu erkennen.
Die Untersuchung wird häufig bei unklaren Bauchschmerzen, Tumorverdacht, Entzündungen oder Gefäßerkrankungen durchgeführt. Dank hoher Auflösung lassen sich auch kleine Veränderungen zuverlässig darstellen.





Die MRT des Bauches (Abdomen-MRT) ist ein hochauflösendes, strahlungsfreies Verfahren zur Beurteilung der inneren Organe.
Im Kernspin Zentrum Köln werden mit modernster Magnetresonanztomographie (MRT) Leber, Gallenwege, Milz, Bauchspeicheldrüse, Nieren und Nebennieren detailliert dargestellt.
Die Untersuchung ermöglicht eine frühzeitige Erkennung von Entzündungen, Tumoren oder strukturellen Veränderungen – für eine sichere und gezielte Diagnostik.
Die MRT der Leber ist eines der wichtigsten Verfahren in der Abdominaldiagnostik. Sie erlaubt eine präzise Beurteilung von Lebertumoren, Leberzysten, Läsionen, Hepatitis und Leberzirrhose.
Im Kernspin Zentrum Köln kann mit Hilfe spezieller MRT-Sequenzen die Gewebestruktur der Leber sehr genau analysiert werden – ideal zur Differenzierung zwischen gutartigen und bösartigen Veränderungen.
Gerade bei unklaren Befunden aus Ultraschall oder CT bietet die MRT entscheidende Zusatzinformationen.
Mit der sogenannten MRCP (Magnetresonanz-Cholangiopankreatikographie) lassen sich die Gallenwege und der Pankreasgang strahlungsfrei und ohne Kontrastmittel darstellen.
Die MRT der Gallenblase und Gallengänge im Kernspin Zentrum Köln zeigt Engstellen, Gallensteine oder Entzündungen präzise und ist besonders hilfreich bei unklaren Oberbauchbeschwerden oder Gelbsucht (Ikterus).
Die MRT der Milz dient der Beurteilung von Milzvergrößerungen, Milztumoren oder Milzverletzungen nach Trauma.
Sie ermöglicht eine klare Abgrenzung gegenüber angrenzenden Organen und liefert wichtige Informationen zur Funktion und Struktur des lymphatischen Systems.
Im Kernspin Zentrum Köln setzen wir die Untersuchung insbesondere bei unklaren Veränderungen oder nach Unfällen ein.
Die MRT des Pankreas ist die Methode der Wahl zur Beurteilung der Bauchspeicheldrüse.
Sie wird eingesetzt bei Verdacht auf Pankreastumoren, Zysten oder Entzündungen (Pankreatitis).
Im Kernspin Zentrum Köln ermöglicht die MRT eine präzise Abgrenzung des Pankreasgewebes und eine sichere Differenzierung zwischen akuten und chronischen Veränderungen – ganz ohne Strahlenbelastung.
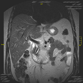
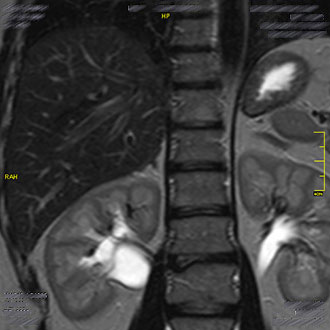
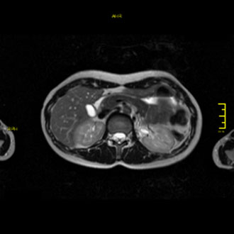
Die MRT der Nieren und Nebennieren bietet eine exzellente Darstellung der Harnorgane.
Sie wird zur Beurteilung von Nierenzysten, Nierentumoren, Nierenanomalien oder Veränderungen des Nierenbeckenkelchsystems eingesetzt.
Auch die ableitenden Harnwege lassen sich mithilfe moderner MRT-Technik gut darstellen.
Im Kernspin Zentrum Köln werden so Erkrankungen frühzeitig erkannt und Therapien gezielt vorbereitet.
Die MRT Bauch im Kernspin Zentrum Köln bietet eine umfassende, sichere und präzise Darstellung der abdominalen Organe – von Leber und Gallenwegen bis zu Nieren und Bauchspeicheldrüse.
Sie liefert zuverlässige Informationen für eine exakte Diagnose und bildet die Grundlage für eine gezielte, frühzeitige Behandlung.
Ein Termin kann telefonisch, online oder direkt vor Ort vereinbart werden. Besonders für Privatpatienten und Selbstzahler bietet das Kernspin Zentrum Köln eine unkomplizierte Terminbuchung mit kurzen Wartezeiten.
Ein MRT ist sehr sicher. Risiken bestehen nur bei Patienten mit bestimmten Implantaten (z. B. Herzschrittmacher, Cochlea-Implantate). Vor der Untersuchung wird im Kernspin Zentrum Köln stets eine genaue Abklärung durchgeführt.
Für Privatpatienten und Selbstzahler werden die Kosten in der Regel nach der Gebührenordnung für Ärzte (GOÄ) abgerechnet. Die genauen Preise hängen von der Art der Untersuchung ab. Gesetzlich Versicherte sollten vorab mit ihrer Krankenkasse klären, ob eine Kostenübernahme möglich ist.
Das Kernspin Zentrum Köln verfügt über moderne MRT-Geräte mit weiter Öffnung, die den Komfort für Patienten deutlich verbessern. Für Menschen mit Platzangst bieten wir spezielle Lösungen und eine beruhigende Betreuung an.
Ja, eine MRT ist völlig schmerzfrei und strahlungsfrei. Patienten liegen während der Untersuchung ruhig im MRT-Gerät, das mit Magnetfeldern arbeitet.
Die reine Untersuchung dauert je nach Körperregion zwischen 15 und 30 Minuten. Mit Vorbereitung und Nachgespräch sollten Patienten etwa 45 Minuten für den gesamten Aufenthalt im Kernspin Zentrum Köln einplanen.
Gesetzlich Versicherte benötigen in der Regel eine Überweisung von ihrem Hausarzt oder Facharzt. Privatpatienten können oft auch direkt einen Termin im Kernspin Zentrum Köln vereinbaren.
Im Kernspin Zentrum Köln werden MRT-Untersuchungen für Kopf, Wirbelsäule, Gelenke, Schulter, Bauch, Becken, Muskeln, Hals und Brust durchgeführt. Jede Untersuchung wird individuell auf die Beschwerden des Patienten abgestimmt.
Die Magnetresonanztomographie (MT), auch Kernspin genannt, ist ein bildgebendes Verfahren ohne Röntgenstrahlen. Im Kernspin Zentrum Köln werden Patienten in einem modernen MRT-Gerät untersucht, das hochauflösende Bilder von Organen, Gelenken und Gewebe liefert. Die Untersuchung ist schmerzfrei und dauert je nach Fragestellung etwa 20 bis 30 Minuten.