Die MRT der Gelenke ist eine schonende und strahlungsfreie Methode, um Knorpel, Bänder, Menisken und umliegende Weichteile zu beurteilen. In Köln bietet unsere Praxis eine präzise Diagnostik bei akuten Verletzungen, Arthrose oder chronischen Beschwerden.
Grundsätzlich lassen sich alle Gelenke mithilfe der MRT darstellen. Besonders häufig untersuchen wir Knie, Hüfte, Sprunggelenk, Ellenbogen und Handgelenk. So können selbst kleinste Verletzungen oder degenerative Veränderungen sichtbar gemacht werden.









Die MRT der Gelenke ist die wichtigste Methode zur Beurteilung von Knorpel, Sehnen, Bändern und Gelenkstrukturen – völlig strahlungsfrei und mit höchster Detailgenauigkeit.
Im Kernspin Zentrum Köln werden alle großen und kleinen Gelenke untersucht, um Verletzungen, Entzündungen oder degenerative Veränderungen frühzeitig zu erkennen und gezielt zu behandeln.
Die MRT Schulter ist die Standarduntersuchung bei Schmerzen, Bewegungseinschränkungen oder nach Verletzungen.
Im Kernspin Zentrum Köln lassen sich Schultersteife (Frozen Shoulder), Traumafolgen, Kapselrissbildungen, Schulterverkalkungen oder Risse in der Bizepssehne genau darstellen.
Gerade bei unklaren Beschwerden liefert die MRT entscheidende Hinweise, um eine Operation zu vermeiden oder optimal vorzubereiten.
Die MRT des Ellbogengelenks dient der Beurteilung von Knochen, Knorpel, Bändern und Sehnen.
Typische Fragestellungen sind Traumafolgen (z. B. Frakturen), Entzündungen, Tennisellbogen (Epicondylitis lateralis), Golfellbogen (Epicondylitis medialis) oder Sehnenscheidenentzündungen.
Die MRT zeigt selbst kleinste Verletzungen und Veränderungen, die im Röntgen oft unauffällig bleiben.
Die MRT des Handgelenks ermöglicht eine sehr genaue Darstellung von Knochenveränderungen, Sehnenverletzungen und Verletzungen des Diskus triangularis (TFCC).
Auch Arthrose oder entzündliche Erkrankungen können exakt beurteilt werden.
Im Kernspin Zentrum Köln wird diese Untersuchung häufig bei chronischen Handgelenkschmerzen oder nach Stürzen eingesetzt.
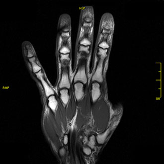
Die MRT der Finger zeigt Traumafolgen, Arthrosen (z. B. bei Rheuma) sowie Verletzungen der Streck- und Beugesehnen.
Durch die hohe Auflösung lassen sich selbst kleinste Strukturen exakt beurteilen – wichtig für die präzise Diagnostik bei schmerzhaften oder eingeschränkten Fingergelenken.
Die MRT Hüfte liefert wertvolle Informationen bei Schmerzen, Bewegungseinschränkungen oder nach Operationen.
Sie zeigt Hüftdysplasien, Entzündungen, Hüftkopfnekrosen, Impingementsyndrome, Zustände nach Endoprothesen sowie Schleimbeutelentzündungen (Bursitis).
Im Kernspin Zentrum Köln werden spezielle MRT-Sequenzen verwendet, um auch frühe Veränderungen sichtbar zu machen.
Das Kniegelenk gehört zu den am häufigsten untersuchten Regionen in der MRT.
Im Kernspin Zentrum Köln werden Traumafolgen, Osteochondrosen, Arthrosen oder Meniskusschäden präzise dargestellt.
Die MRT hilft, Risse, Schwellungen oder Knorpelschäden zuverlässig zu erkennen – eine wichtige Grundlage für orthopädische und chirurgische Therapieentscheidungen.
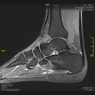
Die MRT des Sprunggelenks wird bei Traumafolgen (Frakturen), Arthrose oder Achillessehnenrupturen durchgeführt.
Auch Streck- und Beugesehnenentzündungen lassen sich detailliert darstellen.
Im Kernspin Zentrum Köln ermöglicht die Untersuchung eine exakte Analyse sowohl des oberen als auch des unteren Sprunggelenks – wichtig für Sportverletzungen und chronische Beschwerden.
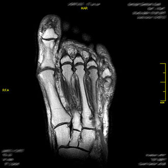
Die MRT des Fußes liefert hochpräzise Bilder von Knochen, Sehnen und Weichteilen.
Typische Befunde sind Hallux valgus, Hallux rigidus, Ermüdungsfrakturen (Marschfrakturen), Morton-Neuralgie, Plantarfasziitis oder Fersensporn.
Im Kernspin Zentrum Köln ist sie die Methode der Wahl zur Beurteilung schmerzhafter oder deformierter Fußgelenke – besonders für sportlich aktive Patienten.
Die MRT Gelenke im Kernspin Zentrum Köln bietet eine umfassende Diagnostik aller Gelenke – von Schulter und Ellbogen bis hin zu Knie und Fuß.
Dank modernster Technik und erfahrener Radiologen können Verletzungen, Entzündungen und Verschleißerkrankungen präzise erkannt und frühzeitig behandelt werden.
So entsteht die ideale Basis für eine effektive Therapie und nachhaltige Bewegungsfreiheit.
Ein Termin kann telefonisch, online oder direkt vor Ort vereinbart werden. Besonders für Privatpatienten und Selbstzahler bietet das Kernspin Zentrum Köln eine unkomplizierte Terminbuchung mit kurzen Wartezeiten.
Ein MRT ist sehr sicher. Risiken bestehen nur bei Patienten mit bestimmten Implantaten (z. B. Herzschrittmacher, Cochlea-Implantate). Vor der Untersuchung wird im Kernspin Zentrum Köln stets eine genaue Abklärung durchgeführt.
Für Privatpatienten und Selbstzahler werden die Kosten in der Regel nach der Gebührenordnung für Ärzte (GOÄ) abgerechnet. Die genauen Preise hängen von der Art der Untersuchung ab. Gesetzlich Versicherte sollten vorab mit ihrer Krankenkasse klären, ob eine Kostenübernahme möglich ist.
Das Kernspin Zentrum Köln verfügt über moderne MRT-Geräte mit weiter Öffnung, die den Komfort für Patienten deutlich verbessern. Für Menschen mit Platzangst bieten wir spezielle Lösungen und eine beruhigende Betreuung an.
Ja, eine MRT ist völlig schmerzfrei und strahlungsfrei. Patienten liegen während der Untersuchung ruhig im MRT-Gerät, das mit Magnetfeldern arbeitet.
Die reine Untersuchung dauert je nach Körperregion zwischen 15 und 30 Minuten. Mit Vorbereitung und Nachgespräch sollten Patienten etwa 45 Minuten für den gesamten Aufenthalt im Kernspin Zentrum Köln einplanen.
Gesetzlich Versicherte benötigen in der Regel eine Überweisung von ihrem Hausarzt oder Facharzt. Privatpatienten können oft auch direkt einen Termin im Kernspin Zentrum Köln vereinbaren.
Im Kernspin Zentrum Köln werden MRT-Untersuchungen für Kopf, Wirbelsäule, Gelenke, Schulter, Bauch, Becken, Muskeln, Hals und Brust durchgeführt. Jede Untersuchung wird individuell auf die Beschwerden des Patienten abgestimmt.
Die Magnetresonanztomographie (MT), auch Kernspin genannt, ist ein bildgebendes Verfahren ohne Röntgenstrahlen. Im Kernspin Zentrum Köln werden Patienten in einem modernen MRT-Gerät untersucht, das hochauflösende Bilder von Organen, Gelenken und Gewebe liefert. Die Untersuchung ist schmerzfrei und dauert je nach Fragestellung etwa 20 bis 30 Minuten.