
Die MRT Kopf ist die Standarduntersuchung bei neurologischen Beschwerden wie Kopfschmerzen, Schwindel oder Sehstörungen. Sie ermöglicht eine exakte Darstellung von Gehirn, Nervenbahnen und Blutgefäßen.
Die Untersuchung wird eingesetzt bei Schlaganfallverdacht, Tumoren, Entzündungen oder unklaren neurologischen Symptomen. Auch bei chronischen Kopfschmerzen liefert die MRT wichtige Befunde.







Die MRT Kopf ist eine der wichtigsten bildgebenden Untersuchungen in der modernen Radiologie. Im Kernspin Zentrum Köln wird die Magnetresonanztomographie (MRT) eingesetzt, um Gehirn, Nerven, Gefäße und Sinnesorgane hochauflösend und strahlungsfrei darzustellen. Sie ermöglicht eine sichere Diagnose bei Kopfschmerzen, Schwindel, Seh- oder Hörstörungen sowie neurologischen Erkrankungen.
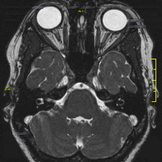
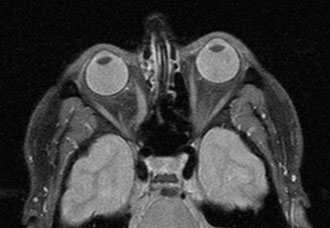
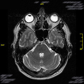
Bei Beschwerden im Bereich der Augen oder Sehstörungen liefert die MRT der Orbita wertvolle Einblicke in die Strukturen von Sehnerv, Augenmuskeln und umliegendem Gewebe.
Sie wird häufig eingesetzt zur Diagnose von Sehnerventzündungen (Opticusneuritis), die oft im Zusammenhang mit Multipler Sklerose auftreten, oder bei endokriner Orbitopathie (Morbus Basedow). Auch Tumoren wie das Opticus-Meningeom oder Fehlstellungen der Augenmuskulatur können mit der MRT präzise beurteilt werden.
Die MRT des Gehirns ist zentral für die neurologische Diagnostik. Im Kernspin Zentrum Köln wird sie zur Abklärung verschiedenster Beschwerden eingesetzt – von häufigen Kopfschmerzen und Migräne bis zu komplexen neurologischen Erkrankungen.
Zu den häufigsten Fragestellungen gehören:
Die MRT ermöglicht es, selbst kleinste Veränderungen im Gehirn frühzeitig zu erkennen – ein entscheidender Vorteil für eine gezielte Therapie.
Mit der MRT-Angiographie können im Kernspin Zentrum Köln die Blutgefäße des Gehirns und der Halsregion ohne Kontrastmittelrisiko dargestellt werden. So lassen sich Aneurysmen, Angiome oder ein Gefäßverschluss zuverlässig erkennen. Diese Untersuchung ist insbesondere bei Durchblutungsstörungen, Schlaganfallverdacht oder Kopfschmerzen mit Gefäßbezug von großer Bedeutung.
Die MRT der Nasennebenhöhlen wird zur Diagnose von Entzündungen, chronischer Sinusitis oder Karzinomen eingesetzt. Sie zeigt die Schleimhäute und knöchernen Strukturen des Gesichtsschädels detailliert und hilft, die Ursache von Druckgefühlen, Kopfschmerzen oder Nasenatmungsproblemen abzuklären.
Bei Kiefergelenksbeschwerden oder unklaren Schmerzen im Gesichtsbereich bietet die MRT des Kiefergelenks eine strahlungsfreie Möglichkeit zur Beurteilung der Gelenkstrukturen, Knorpelscheiben und Muskeln. So lassen sich Fehlfunktionen, Entzündungen oder degenerative Veränderungen frühzeitig erkennen.
Für die Diagnostik von Hör- und Gleichgewichtsstörungen ist die MRT des Innenohrs unverzichtbar. Im Kernspin Zentrum Köln dient sie zur Abklärung von Schwindel, Tinnitus oder Morbus Menière sowie zum Nachweis von Tumoren wie dem Akustikusneurinom. Durch die hochauflösende Bildgebung lassen sich selbst kleinste Veränderungen im Bereich des Hör- und Gleichgewichtsorgans sichtbar machen.
Die MRT Kopf im Kernspin Zentrum Köln bietet eine umfassende und präzise Diagnostik bei allen neurologischen und sensorischen Fragestellungen. Ob Kopfschmerzen, Schwindel, Sehstörungen oder Verdacht auf Gefäßerkrankungen – die Magnetresonanztomographie liefert klare Antworten für eine sichere und frühzeitige Behandlung.
Ein Termin kann telefonisch, online oder direkt vor Ort vereinbart werden. Besonders für Privatpatienten und Selbstzahler bietet das Kernspin Zentrum Köln eine unkomplizierte Terminbuchung mit kurzen Wartezeiten.
Ein MRT ist sehr sicher. Risiken bestehen nur bei Patienten mit bestimmten Implantaten (z. B. Herzschrittmacher, Cochlea-Implantate). Vor der Untersuchung wird im Kernspin Zentrum Köln stets eine genaue Abklärung durchgeführt.
Für Privatpatienten und Selbstzahler werden die Kosten in der Regel nach der Gebührenordnung für Ärzte (GOÄ) abgerechnet. Die genauen Preise hängen von der Art der Untersuchung ab. Gesetzlich Versicherte sollten vorab mit ihrer Krankenkasse klären, ob eine Kostenübernahme möglich ist.
Das Kernspin Zentrum Köln verfügt über moderne MRT-Geräte mit weiter Öffnung, die den Komfort für Patienten deutlich verbessern. Für Menschen mit Platzangst bieten wir spezielle Lösungen und eine beruhigende Betreuung an.
Ja, eine MRT ist völlig schmerzfrei und strahlungsfrei. Patienten liegen während der Untersuchung ruhig im MRT-Gerät, das mit Magnetfeldern arbeitet.
Die reine Untersuchung dauert je nach Körperregion zwischen 15 und 30 Minuten. Mit Vorbereitung und Nachgespräch sollten Patienten etwa 45 Minuten für den gesamten Aufenthalt im Kernspin Zentrum Köln einplanen.
Gesetzlich Versicherte benötigen in der Regel eine Überweisung von ihrem Hausarzt oder Facharzt. Privatpatienten können oft auch direkt einen Termin im Kernspin Zentrum Köln vereinbaren.
Im Kernspin Zentrum Köln werden MRT-Untersuchungen für Kopf, Wirbelsäule, Gelenke, Schulter, Bauch, Becken, Muskeln, Hals und Brust durchgeführt. Jede Untersuchung wird individuell auf die Beschwerden des Patienten abgestimmt.
Die Magnetresonanztomographie (MT), auch Kernspin genannt, ist ein bildgebendes Verfahren ohne Röntgenstrahlen. Im Kernspin Zentrum Köln werden Patienten in einem modernen MRT-Gerät untersucht, das hochauflösende Bilder von Organen, Gelenken und Gewebe liefert. Die Untersuchung ist schmerzfrei und dauert je nach Fragestellung etwa 20 bis 30 Minuten.