
Die MRT Becken ermöglicht eine präzise Darstellung von Hüftgelenken, Knochen, Muskeln und umliegenden Weichteilen. In Köln setzen wir diese Untersuchung ein, wenn Beschwerden im Becken- oder Hüftbereich bestehen.
Typische Fragestellungen sind Gelenkentzündungen, Arthrose, Tumoren, Verletzungen oder unklare Schmerzen im Becken. Auch bei Sportverletzungen im Hüftbereich liefert die MRT exakte Ergebnisse.




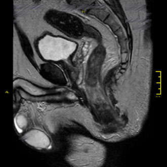
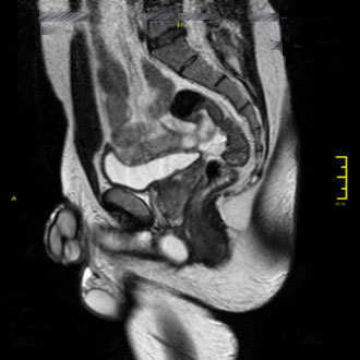
Die MRT des Beckens (Becken-MRT) ist ein hochauflösendes, strahlungsfreies Verfahren zur Untersuchung der inneren Organe, des Beckenknochens und des umliegenden Weichteilgewebes.
Im Kernspin Zentrum Köln ermöglicht die Magnetresonanztomographie eine präzise Beurteilung sowohl gynäkologischer und urologischer Strukturen als auch knöcherner Veränderungen im Beckenbereich.
Bei Frauen liefert die MRT des Beckens wertvolle Informationen über die Harnblase, Gebärmutter, Eierstöcke und den Enddarm.
Im Kernspin Zentrum Köln wird sie häufig eingesetzt zur Abklärung von:
Die Untersuchung ermöglicht eine exakte Darstellung der Beckenorgane und hilft, gutartige von bösartigen Veränderungen zu unterscheiden – wichtig für eine gezielte Therapieplanung.
Die MRT des männlichen Beckens dient der Untersuchung von Harnblase, Prostata und den männlichen Geschlechtsorganen.
Im Kernspin Zentrum Köln kommt sie häufig zum Einsatz bei:
Die MRT liefert präzise Bilder der Weichteile und Gefäße und ermöglicht eine sichere Diagnostik – insbesondere bei unklaren oder chronischen Beschwerden.
Auch das knöcherne Becken kann mittels MRT exakt beurteilt werden.
Im Kernspin Zentrum Köln werden mit der MRT Tumoren, Metastasen, Entzündungen oder Verletzungen des Beckenknochens zuverlässig erkannt.
Gerade bei unklaren Schmerzen, nach Traumata oder bei Verdacht auf Knochenerkrankungen bietet die MRT entscheidende diagnostische Vorteile gegenüber konventionellen Röntgenbildern.
Die MRT des Enddarms (Rektum) und Analkanals wird im Kernspin Zentrum Köln zur Beurteilung entzündlicher und postoperativer Veränderungen durchgeführt.
Besonders bei einer Analfistel oder nach chirurgischen Eingriffen liefert sie wertvolle Informationen über Ausdehnung, Verlauf und Heilungszustand.
Die Untersuchung erfolgt schonend und ohne Strahlenbelastung.
Die MRT Becken im Kernspin Zentrum Köln bietet eine umfassende Diagnostik für Frauen und Männer gleichermaßen.
Ob Entzündungen, Tumoren, Fehlbildungen oder Beschwerden im Beckenboden – die hochauflösende MRT liefert exakte Informationen für eine präzise Diagnose und optimale Therapieplanung.
Ein Termin kann telefonisch, online oder direkt vor Ort vereinbart werden. Besonders für Privatpatienten und Selbstzahler bietet das Kernspin Zentrum Köln eine unkomplizierte Terminbuchung mit kurzen Wartezeiten.
Ein MRT ist sehr sicher. Risiken bestehen nur bei Patienten mit bestimmten Implantaten (z. B. Herzschrittmacher, Cochlea-Implantate). Vor der Untersuchung wird im Kernspin Zentrum Köln stets eine genaue Abklärung durchgeführt.
Für Privatpatienten und Selbstzahler werden die Kosten in der Regel nach der Gebührenordnung für Ärzte (GOÄ) abgerechnet. Die genauen Preise hängen von der Art der Untersuchung ab. Gesetzlich Versicherte sollten vorab mit ihrer Krankenkasse klären, ob eine Kostenübernahme möglich ist.
Das Kernspin Zentrum Köln verfügt über moderne MRT-Geräte mit weiter Öffnung, die den Komfort für Patienten deutlich verbessern. Für Menschen mit Platzangst bieten wir spezielle Lösungen und eine beruhigende Betreuung an.
Ja, eine MRT ist völlig schmerzfrei und strahlungsfrei. Patienten liegen während der Untersuchung ruhig im MRT-Gerät, das mit Magnetfeldern arbeitet.
Die reine Untersuchung dauert je nach Körperregion zwischen 15 und 30 Minuten. Mit Vorbereitung und Nachgespräch sollten Patienten etwa 45 Minuten für den gesamten Aufenthalt im Kernspin Zentrum Köln einplanen.
Gesetzlich Versicherte benötigen in der Regel eine Überweisung von ihrem Hausarzt oder Facharzt. Privatpatienten können oft auch direkt einen Termin im Kernspin Zentrum Köln vereinbaren.
Im Kernspin Zentrum Köln werden MRT-Untersuchungen für Kopf, Wirbelsäule, Gelenke, Schulter, Bauch, Becken, Muskeln, Hals und Brust durchgeführt. Jede Untersuchung wird individuell auf die Beschwerden des Patienten abgestimmt.
Die Magnetresonanztomographie (MT), auch Kernspin genannt, ist ein bildgebendes Verfahren ohne Röntgenstrahlen. Im Kernspin Zentrum Köln werden Patienten in einem modernen MRT-Gerät untersucht, das hochauflösende Bilder von Organen, Gelenken und Gewebe liefert. Die Untersuchung ist schmerzfrei und dauert je nach Fragestellung etwa 20 bis 30 Minuten.